尴尬的色素牙与人沟通难以自在
影响工作形象业务成交不给力
影响个人气质相亲恋爱第一印象差
由美国皓齿口腔科技公司研发,其专利美白剂弥补传统技术的不足,1小时即可绽放自信亮白的笑容~ 在美国,有超过100万人用它美白牙齿,被称为效果最好的午休美齿项目。[了解更多…]
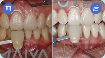
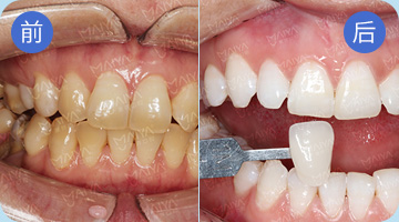
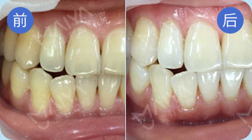
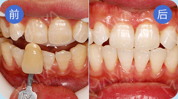
黄牙治疗前后
黑牙治疗前后
烟斑牙治疗前后
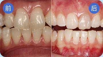
增龄性黄牙治疗前后
轻度四环素牙前后
轻度氟斑牙前后
40%浓度的过氧化氢快速置换色素因子,1小时焕白新生
硝酸钾同步生效,避免氧化还原反应造成牙齿酸痛。
氟化物促进牙釉质生成,隔绝色素,3~5年持久亮白。
美白同时穿上“防龋衣”,氟化物有效避免蛀牙。
制定合适方案
促进美白剂渗透
留作对比
守护娇嫩牙龈
基本无不适感
吸走美白剂
与方案进行对比
持久亮白
A:皓齿不用蓝光照射所以不伤牙体,拥有专利美白剂,更舒适、更持久,价格与冷光美白相近,所以皓齿美白无疑更超值。
A:一般色素牙甚至轻度的四环素牙、氟斑牙仅一次就够了,特别严重,要按医生方案进行再次美白,具体情况建议咨询在线客服。
A:一般色素牙,轻度的四环素牙、氟斑牙一次就够,特别严重,要按医生方案进行再次美白,具体情况建议咨询在线客服。
A:临床大多可维持3~5年,与皓齿的专利美白剂有关,比传统蓝光美白有效期更长。建议大家少喝咖啡浓茶,效果更持久~
英国皇室御用美白技术不伤牙体拥有好莱坞白
薄如蝉翼0.2mm厚度遮盖牙色修复形态
洁牙升级防护合一牙结石与菌斑无所遁形
修复美白一步到位亮白耐咬耐磨不易崩瓷
CDIC牙种植体的临床应用
中药治疗放射性口干症的临床观察
特发性髁突吸收的研究进展
种植义齿固定螺丝孔微渗漏原因分析
Medpor鼻侧种植体应用于齿槽突裂的临床体会
锥束CT、螺旋CT和曲面断层片诊断埋伏牙的对比性研究
种植体周围炎再生性治疗1例
O-Bite欧牌咬合记录
口腔颌面部恶性肿瘤患者术后术区感染危险因素分析
龈下根面抛光对慢性牙周炎治疗影响的初步研究……
MIF. Beclin1.Lc3等细胞因子在腺样囊性癌中的表达……
不同种植体-骨结合部位对骨界面应力分布的影响
郑苍尚教授获医学科学技术奖
郑苍尚教授获市二院管理奖
正畸医师吴伯海获博士任职
麦芽院长受邀意大利交流访问
麦芽种植医师荣获秀考官
口腔修复学会
牙周病学会
区政府示范单位
口腔保障基地
姚江武教授点赞麦芽硕博团队
刘宝林教授题词天涯术业若比邻
中华口腔会长王兴教授题词
工程院院士邱蔚六为麦芽题词
张志愿院士贺麦芽口腔兴旺发达
刘宝林教授认可麦芽品牌理念
凌均棨教授为麦芽题词点赞